近日,国际呼吸领域权威期刊 Respiration 发表了全球首篇关于机器人支气管镜(RAB)联合锥形束CT(CBCT)引导下的经支气管冷冻消融治疗肺部恶性肿瘤的临床案例报道。该研究由上海市胸科医院孙加源教授团队完成,采用了上海理工大学刘宝林教授团队与导向®医疗、孙加源团队共同研发的1.9mm经支气管冷冻消融针——红袖刀®,成功为6例肺部恶性肿瘤患者实施精准冷冻消融治疗,所有手术均顺利完成,无一例出现并发症。

研究背景:微创治疗的新选择
手术切除是早期非小细胞肺癌(NSCLC)和部分肺转移瘤的标准治疗方式,但对于无法耐受或拒绝手术的患者,局部消融治疗成为重要替代方案。与传统经皮消融相比,经支气管路径的冷冻消融具有更低的穿刺相关并发症(气胸、出血等)和极端位置更优越的到达能力,尤其适用于无法经皮穿刺到达或穿刺风险高的病灶。
传统的经支气管消融通常采用导航+普通支气管镜+影像设备的组合,其到达能力和精准度均有限,且局限于有支气管通向的病灶,适用人群有限。
技术突破:机器人+CBCT+红袖刀®
本研究首次结合三大技术优势:
• ssRAB(ION, Intuitive Surgical):提供极致的灵活性、稳定性与抵达率,配合穿刺针和CBCT,可建立通往病变中心的隧道;
• CBCT(Cios Spin, Siemens):实现术中透视+三维成像,术中实时确认工具(导管、穿刺针、消融针等)与病变的位置关系,并有效监测冷冻消融范围;
• 经支气管冷冻消融系统(红袖刀®,导向®医疗):1.9mm超细直径,兼顾柔顺性、推送性和耐弯折性能,采用氮气冷冻+电加热复温,实现-170~+60℃的冻融循环。
该组合首次实现了经支气管路径下的全程可视、全肺抵达、精准定位、可控消融,极大提升了手术的安全性与有效性。

▲ 机器人+CBCT+红袖刀®
临床成果:6例患者均获成功,无并发症
研究中所有患者均成功完成消融,术后影像显示消融区完全覆盖肿瘤,短期随访(3个月内)未见复发或并发症。尤其值得一提的是,其中多位患者为高龄、多原发癌或转移癌,传统手术风险和创伤较大,本方案为其提供了新的治疗选择。

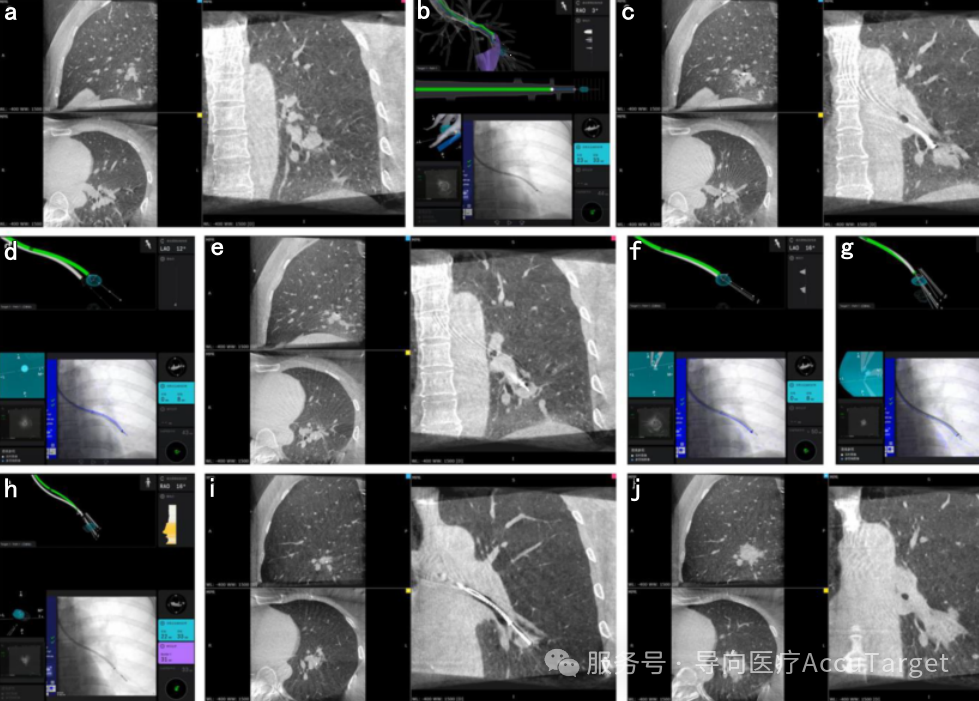
▲ 病例4-ssRAB联合CBCT引导下活检与冷冻消融。(a) 消融术前CBCT扫描;(b) 导航定位后,采用R-EBUS确认结节位置;(c) CBCT确认导管尖端与目标结节的位置关系;(d) 根据更新的结节位置进行穿刺;(e) CBCT确认穿刺针位于病灶内;(f) 经穿刺针建立隧道并使用针鞘扩张;(g) 钳夹行经支气管活检;(h) 置入冷冻消融探针并适当回撤导管;(i) CBCT确认探针位于病灶内;(j) 消融后即刻行CBCT扫描。

▲ 6例冷冻消融术前后胸部CT影像。(x1-x4) 术前、术后≤3天、1个月及3个月的胸部CT。
红袖刀®:中国创新的全球亮相
这是红袖刀®继此前临床研究发表后,第二次亮相国际顶级期刊。其优异的柔顺性、通过性和冷冻效能,再次获得国际同行认可。作为导向®医疗在经支气管介入治疗领域的核心产品,红袖刀®正逐步推动中国企业在全球肺癌治疗领域的领先地位。

▲ 红袖刀®经支气管\经皮双路径冷冻消融系统
尽管本研究样本量有限,随访时间较短,但其初步结果极具启发性。未来,导向®医疗将继续推进多中心、大样本临床研究,提高冷冻消融的循证医学地位。同时,在产品端持续迭代出新,为广大肿瘤疾病患者提供更优的解决方案。
专家寄语
上海市胸科医院副院长孙加源教授表示:“这项全球首个病例系列的成功发表,标志着我们在经支气管冷冻消融领域实现了一个关键突破。机器人支气管镜+CBCT+冷冻消融的创新结合,为我们精准打击肺内病灶提供了全新的“利器”,未来有望让更多不适合手术的肺癌患者受益。”


